Il corso, ospitato presso la sede di Dürr Dental Italia, si propone di approfondire le strategie più efficaci per affrontare questa patologia con approccio prevalentemente non chirurgico e poi eventualmente chirurgico, con particolare attenzione al ruolo cruciale del paziente e al contributo dell’igienista dentale.




Cosa approfondiremo
- Origine e progressione della malattia
La parodontite è una condizione infiammatoria cronica che insorge in seguito a uno squilibrio tra le difese immunitarie dell’ospite e l’insulto batterico. Il biofilm rappresenta il fattore scatenante, ma non è sufficiente da solo: è la risposta infiammatoria individuale – modulata da fattori genetici, sistemici e ambientali – a determinare l’effettivo sviluppo della malattia. - Obiettivi del trattamento non chirurgico
La rimozione del biofilm è l'obiettivo primario del trattamento: ridurre la carica batterica al di sotto della soglia tollerata per controllare l'infiammazione e bloccare la progressione della malattia. - Connessioni con la salute sistemica
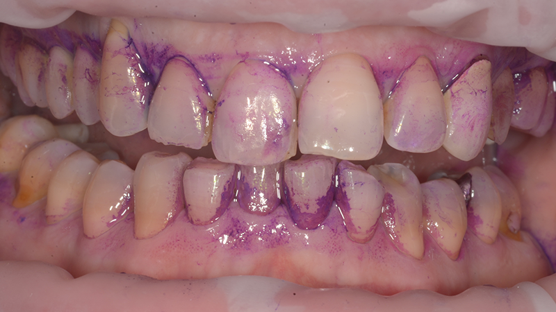
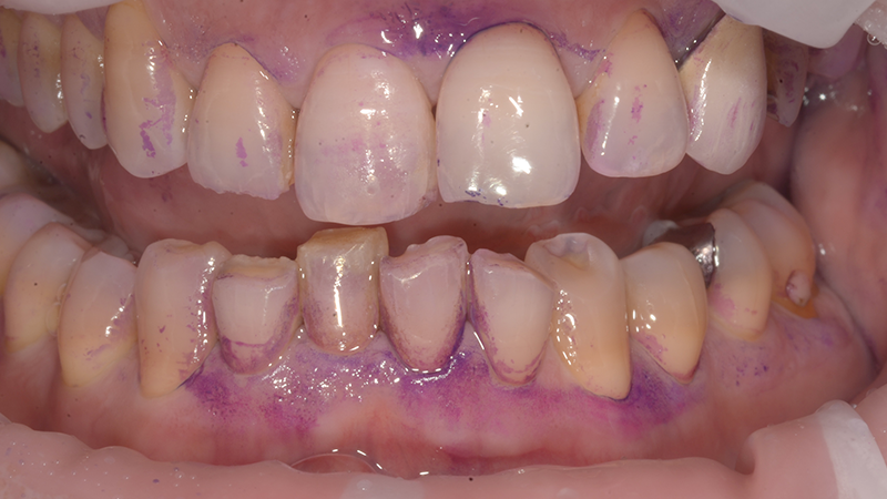
Un solo grammo di placca può contenere miliardi di batteri. La presenza di ulcerazioni a livello delle tasche parodontali consente il passaggio di molecole infiammatorie nel circolo sistemico, influenzando negativamente l'intero organismo. - Il paziente come protagonista della terapia
Il successo del trattamento dipende in larga parte dalla collaborazione del paziente. È quindi essenziale coinvolgerlo attivamente fin dall’inizio, rendendolo consapevole della sua condizione e del ruolo che
può giocare nel processo di guarigione. - Il ruolo dell'igienista dentale
L’igienista dentale, in sinergia con tutto il team, ha il compito di costruire un’alleanza terapeutica efficace, informando il paziente e supportandolo nel controllo quotidiano dei fattori di rischio. Strumenti come la videocamera intraorale, i rivelatori di placca e la documentazione fotografica diventano alleati indispensabili per far “vedere” al paziente la malattia e aumentare la sua adesione alle istruzioni di igiene domiciliare. Le indicazioni devono essere
personalizzate in base alle caratteristiche individuali e verificate alla poltrona per garantirne l’efficacia.
Questo corso in presenza offre un’opportunità concreta per approfondire approcci pratici e aggiornati nella gestione della parodontite, con un focus reale sulla comunicazione col paziente e sull’efficacia del lavoro clinico quotidiano.
Vi aspettiamo il 7 e 8 novembre presso la sede di Dürr Dental Italia, alle porte di Milano!
I relatori
Dr.ssa Silvia Musella
Dal 2014 svolge la libera professione a Milano incentrando la sua attività sul trattamento di pazienti parodontali e sul counseling per il cambiamento degli stili di vita. Relatrice a congressi e corsi di formazione. Collabora con aziende del settore come consulente e content writer.
Dr.ssa Claudia Nicolai
Socio SIdP, esercita l'attività dal 2007. Relatrice a corsi per Medici ed Igienisti Dentali. Si occupa di istruzione e motivazione all'igiene, salute e prevenzione del cavo orale.
Dr. Massimo Di Stefano
Socio attivo SIdP e libero professionista a Monza.
Dr.ssa Loretta Bongiovanni
Socio ordinario Igienista dentale della Società Italiana di Parodontologia (SIdP) dal 2010.
Nei bienni 2020-21 e 2024-25 membro della Commissione Culturale SIdP. Relatrice a congressi, ha preso parte a lavori di ricerca scientifica presso l'Università degli Studi di Torino.
Consulta la brochure del corso.


