Abstract
Nonostante la riabilitazione protesica implanto-supportata sia considerata sicura e ben documentata da studi scientifici a medio e lungo termine, il carico immediato post-estrattivo anteriore, specialmente in caso di edentulia multipla, rappresenta ancora oggi una vera sfida nella pratica clinica quotidiana.
Il presente case report illustra e descrive la riabilitazione implantare a carico immediato (entro 24 ore dall’intervento) mediante la sistematica implantare Megagen Anyridge.
La riabilitazione si riferisce a una classe IV di Kennedy, in cui sette elementi dentari sono stati sostituiti grazie all'impiego di quattro fixtures. La loro posizione è stata pianificata utilizzando il software R2Gate® e sfruttando l’uso del tool “Digital Eye". Quest’ultimo consente di valutare la densità ossea durante la pianificazione del caso in modo digitale e fornisce una sequenza individualizzata di frese osteotomiche sito per sito.
La riabilitazione è stata richiesta dalla paziente a causa di sventagliamento del sestante anteriore (flaring), dopo aver mantenuto la dentatura per sette anni a seguito del completamento della terapia parodontale.
La necessità della paziente di migliorare la componente estetica e fonetica, unitamente ai vincoli relativi alle tempistiche di trattamento, hanno orientato il piano di cura individuale verso la riabilitazione postestrattiva immediata a carico immediato.
Gli alveoli post-estrattivi e la jumping distance, ossia lo spazio presente tra l'aspetto vestibolare della fixture e il buccal bone, hanno ricevuto l'innesto di sostituto osseo xenogenico di origine suina,non è stato necessario scolpire alcun lembo chirurgico né utilizzare punti di sutura. La protesi provvisoria, ottenuta attraverso un planning pre-operatorio digitale, è stata consegnata entro 24 ore dalla conclusione dell’intervento chirurgico.
Introduzione
L'inserimento implantare post-estrattivo seguito da carico immediato viene oggi considerato ampiamente documentato da un punto di vista clinico. Nonostante ciò, la validazione scientifica di tale protocollo clinico è ancora in corso, in quanto solo pochi studi scientifici randomizzati e controllati sono disponibili. È bene inoltre precisare che la maggior parte degli studi scientifici si riferisce alla riabilitazione impiantare post-estrattiva singola, mentre pochi dati sono disponibili per le riabilitazioni di edentulie parziali (multiple) nel settore anteriore [1].
La chirurgia statica computer-guidata rappresenta una procedura alternativa di posizionamento degli impianti che ha visto un rapido sviluppo negli ultimi anni sia in termini di tecnica operativa che di prevedibilità dei risultati. Attraverso questa procedura di pianificazione computerizzata dell'inserimento implantare e il trasferimento di informazioni digitali per l'esecuzione di guide chirurgiche per la chirurgia implantare, è possibile riprodurre in modo affidabile la posizione implantare progettata prima di eseguire l’atto chirurgico [2]. Questo approccio operativo può rappresentare un miglioramento in molti aspetti relativi al posizionamento degli impianti: morbidità per il paziente (in quanto è possibile eseguire una chirurgia senza lembi o, in alternativa, ridurre al minimo l'estensione dei lembi chirurgici), tempo di esecuzione (la pianificazione consente di posizionare l'impianto esattamente dove previsto) e riduzione dell'errore chirurgico legato all'attività soggettiva dell'operatore [3]. R2Gate® (Megagen implants, Daegu, Corea del Sud) è il sistema di chirurgia guidata utilizzato per la risoluzione del presente caso clinico.
La peculiarità di questo sistema è che le guide chirurgiche sono sprovviste di boccole (sleeveless) e sono stampate interamente in resina. Questa è la principale differenza rispetto ad altre sistematiche implantari oggi presenti sul mercato. Inoltre, le guide R2Gate® sono caratterizzate dalla metodica keyless, ossia non è prevista la presenza di alcuno stop o riduttore. La logica alla base di questa metodologia senza boccole e senza riduttori/stop è quella di semplificare le procedure chirurgiche. Infatti, tutte le informazioni relative alla boccola, agli stop per la preparazione del sito osteotomico implantare e ai riduttori sono incluse nella sequenza di frese chirurgiche. Inoltre, il software di pianificazione digitale è dotato di uno strumento chiamato “Digital Eye” che consente di valutare in anticipo la densità ossea in ciascun sito implantare. Su questa base, il chirurgo può modulare la sequenza di fresatura per raggiungere la stabilità primaria in base alla posizione dell'impianto e ai volumi di tessuto disponibili [4-5]. L'obiettivo del presente case report è illustrare la risoluzione di un caso clinico mediante impianti Megagen Anyridge posizionati attraverso l'innovativa sistematica di chirurgia guidata R2Guide (Megagen implants, Daegu, Corea del Sud).
Descrizione del caso clinico
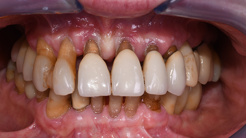
La paziente, donna di 70 anni e fumatrice di <5 e-cigarettes al giorno, afferisce inviata da Odontoiatra curante per valutazione estetico-funzionale del sestante 2 (mascellare anteriore). Riferisce di essere stata curata negli anni precedenti mediante terapie non chirurgiche e chirurgiche a seguito di diagnosi di parodontite e di seguire un regime personalizzato di terapia parodontale di supporto. Ciononostante lamenta insoddisfazione estetica dovuta alla presenza di ampi triangoli neri tra gli elementi dentari residui, migrazione degli stessi in direzione vestibolare nel corso degli anni, presenza di splint interdentali in composito, difformità cromatiche e morfologiche associate a discomfort alla fonazione e mobilità.
Ponendo vincoli relativamente alle tempistiche e richiedendo una riabilitazione protesica fissa, il piano di trattamento individuale è stato orientato verso riabilitazione protesica fissa a supporto impiantare a carico immediato per la sostituzione degli elementi 13-12-11-21-22-23-24 (Figs. 1, 2).
Fig. 1 - Sorriso in visione frontale extra-orale
Fig. 2 - Visione frontale intra-orale
Si è proceduto quindi a pianificare mediante il software R2Gate® la posizione delle fixtures impiantati nei siti che sono stati ritenuti maggiormente favorevoli per poter garantire una stabilità primaria adeguata. Tale procedura è stata semplificata dall’analisi suggerita dal tool “Digital Eye” che ha inoltre suggerito la corretta sequenza di frese da utilizzare per ciascun impianto (Figs. 3, 4, 5).
Fig. 3 - Pianificazione chirurgica mediante R2Gate®
Fig. 4 - Pianificazione chirurgica associata a Digital Eye, sequenza di frese individualizzata per ciascun sito implantare
Fig. 5 - Kit implantare per la chirurgia guidata Megagen Anyridge
In seguito ad anestesia per infiltrazione mediante articaina cloridrato + vasocostrittore (adrenalina 1:100.000), sono state eseguite le estrazioni degli elementi interessati (Fig. 6).
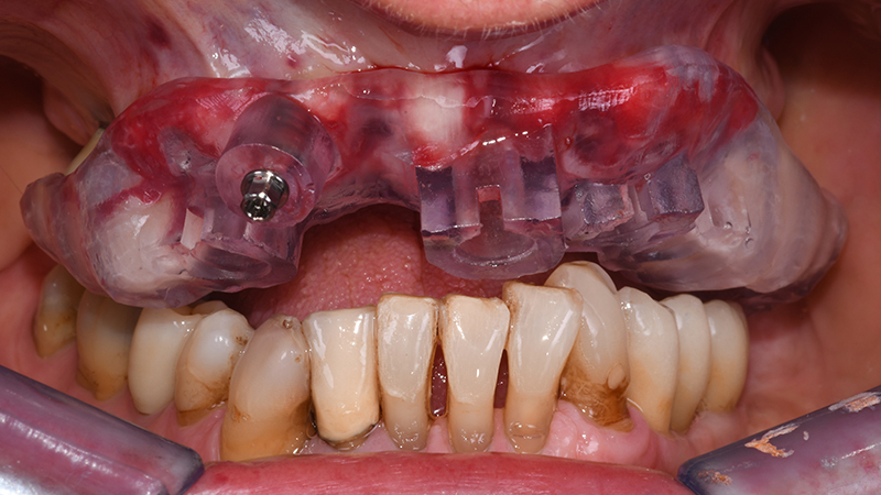
Dopo aver verificato la posizione della dima chirurgica sul modello digitale stampato, quest’ultima è stata posizionata in bocca tramite il supporto dentale dei settori latero-posteriori ed un pin di fissaggio è stato applicato (Anchor Pin Kit, Megagen, Daegu, Corea del Sud) (Figs. 7, 8, 9).
Fig. 6 - Alveoli post-estrattivi prima di applicare R2Guide®
Fig. 7 - Modello digitale stampato
Fig. 8 - Visione frontale R2Guide® in situ dopo applicazione pin di fissazione
Fig. 9 - Visione occlusale R2Guide®
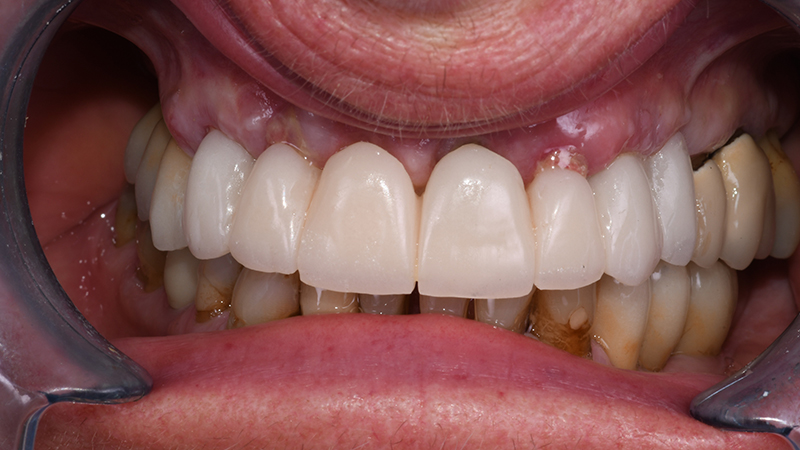
Le fixtures implantari sono state inserite seguendo il planning pre-chirurgico (Figs. 10, 11) in posizione 13-21-23-24. Lo spazio presente tra la componente vestibolare di ciascun impianto e l’osso vestibolare (jumping distance) e gli alveoli post-estrattivi non riceventi impianti, hanno ricevuto l’innesto di sostituto osseo xenogenico collagenato di origine suina (The Graft, Purgo, Challans, Francia) (Figs. 12, 13, 14) dopo aver posizionato i Multi-Unit abutment (MUA). La protesi provvisoria è stata avviata entro 24 ore dal termine della chirurgia (Figs. 15, 16).
Fig. 10 - Contenitore Megagen Anyridge dopo aver rimosso imballaggio sterile
Fig. 11 - Fixture Megagen Anyridge prima dell'inserimento
Fig. 12 - Sostituto osseo collagenato in blocco The Graft Purgo Biologics
Fig. 13 - Applicazione di sostituto osseo collagenato
Fig. 14 - Visione occlusale dopo aver applicato innesto osseo nei siti riceventi
Fig. 15 - Visione frontale intra-orale dopo applicazione di protesi provvisoria a carico immediato
Fig. 16 - Sorriso in visione frontale extra-orale dopo applicazione di protesi provvisoria a carico immediato
Discussione
In accordo con quanto affermato da Gallucci et al. Nel contesto della sesta Consensus Conference ITI, la procedura di inserimento implantare postestrattivo seguita da carico immediato risulta essere documentata clinicamente pur necessitando di piena validazione scientifica. Tale necessità risulta essere ancor più stringente nel contesto di riabilitazioni settoriali multiple in zona estetica. Un limite del presente articolo è la presentazione di un solo caso clinico. La validazione comparativa con gruppo di controllo su sample size adeguati rimane quindi di fondamentale importanza.
Conclusioni
Il presente case report ha evidenziato l'efficacia della chirurgia guidata eseguita mediante il software R2Gate® e la dima chirurgica R2Guide® per il posizionamento di impianti Megagen Anyridge nella riabilitazione immediata post-estrattiva della classe IV di Kennedy (settore frontale). Il posizionamento preciso degli impianti attraverso la presente sistematica innovativa, aumenta la predicibiltà del trattamento e migliora i risultati per il paziente, stabilendo un importante riferimento per la terapia protesica post-estrattiva a carico immediato della zona ad alta valenza estetica.
Bibliografia
- Gallucci GO, Hamilton A, Zhou W, Buser D, Chen S. Implant placement and loading protocols in partially edentulous patients: A systematic review. Clin Oral Implants Res. 2018 Oct;29 Suppl 16:106-134. doi: 10.1111/clr.13276. PMID: 30328194.
- Vercruyssen M, Fortin T, Widmann G, Jacobs R, Quirynen M. 2014. Different techniques of static/dynamic guided implant surgery: modalities and indications. Periodontology 2000. 66(1):214- 227.
- Schneider D, Marquardt P, Zwahlen M, Jung RE. 2009. A systematic review on the accuracy and the clinical outcome of computer-guided template-based implant dentistry. Clinical oral implants research. 20 Suppl 4(73-86).
- Cristache CM, Gurbanescu S. Accuracy Evaluation of a Stereolithographic Surgical Template for Dental Implant Insertion Using 3D Superimposition Protocol. Int J Dent. 2017;2017:4292081. doi: 10.1155/2017/4292081. Epub
2017 May 7. PMID: 28555157; PMCID: PMC5438863. - Cristache CM, Burlibasa M, Tudor I, Totu EE, Di Francesco F, Moraru L. Accuracy, Labor-Time and Patient-Reported Outcomes with Partially versus Fully Digital Workflow for Flapless Guided Dental Implants Insertion-A Randomized Clinical Trial with One-Year Follow-Up. J Clin Med. 2021 Mar 6;10(5):1102. doi: 10.3390/jcm10051102. PMID: 33800946; PMCID: PMC7961841.


