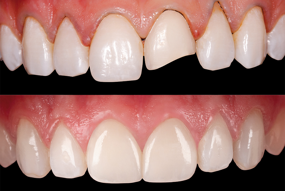
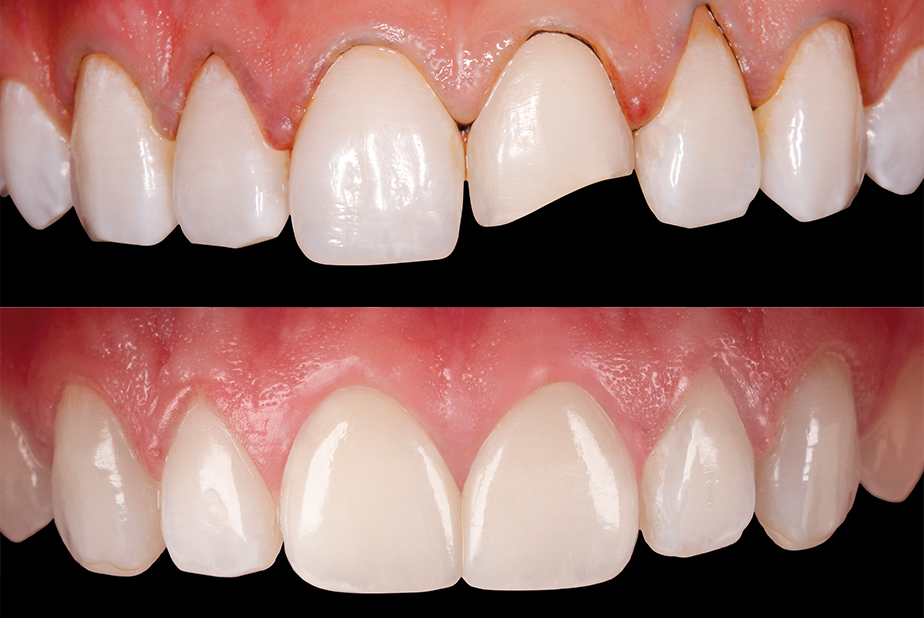
In passato, non andava mai dal dentista perchè mi sentivo molto a disagio. Tuttavia, a causa di un incidente a circa 12 anni, ho perso metà del mio incisivo.
A quel tempo, il dentista mi disse che l'unico trattamento possibile era l'otturazione in resina. Sfortunatamente, questa soluzione non si è rivelata molto estetica: la parte in resina diventava sempre più sottile e scura, richiedendo diversi interventi di sostituzione. Quindi abbiamo optato per una faccetta senza preparazione, che seppur migliore, non mi donava la tranquillità necessaria per poter ridere liberamente. Così, ho deciso di rivolgermi nuovamente al dentista, che mi ha proposto un trattamento innovativo con faccette in zirconia ultrasottili Prettau® Skin®.
Grazie a questa nuova tecnica sarebbe stato necessario rimuovere solo poco o addirittura nulla della mia dentizione naturale. Ero un pò spaventato perchè il mio dente fratturato è sempre stato un pò sensibile, pensavo che potesse essere doloroso; invece, la procedura è stata rapida e semplice.
Per quanto riguarda il risultato finale, sono decisamente soddisfatto. Pensavo sarebbe stato difficile ottenere una riproduzione naturale della tonalità, senza che si percepisse la linea di transizione con il dente naturale, come in passato. Ora, non vedo alcuna differenza. I cambiamenti ai miei denti sono stati molto piccoli, ma l'effetto è stato impressionante. Sono davvero orgoglioso del mio nuovo sorriso. Ora rido liberamente e con gusto, e sento di avere un atteggiamento più propositivo verso la vita, con effetti positivi non solo sulle mie condizioni di salute generale, ma anche sulle mie relazioni.
Per informazioni
Zirkonzahn | Tel. 0474.066680 | www.zirkonzahn.com


