Salta al contenuto principale

Ricerca

User account menu

  • Accedi
  • News
    • Tutte le News
    • Associazione
    • Dalle aziende
    • Eventi
    • Interviste
  • Confronti
  • Annunci
  • Eventi
  • Focus
  • INFODENT Rivista
    • Leggi la rivista
    • Archivio
    • Storia
  • articoli
  • video
  • aziende
  • chi siamo
  • contatti
  • Accedi
Home

Light menu

  • La Rivista
  • News
  • Articoli
  • Confronti
  • Annunci
  • Eventi
  • Focus

Briciole di pane

  1. Home
  2. News Azienda
  3. News Azienda
NEWS
Zirkonzahn Srl
Nuovi colori Liquid Prettau Aquarell Boost
Dalle aziende
Nuovi colori Liquid Prettau Aquarell Boost
05 Dicembre 2025
Florence Totalprox Denture System
Dalle aziende
Protesi totali in resina realizzate con l'innovativo Florence Totalprox Denture System
10 Ottobre 2025
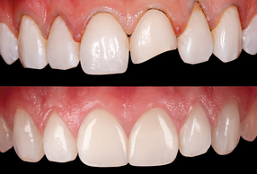
Riabilitazione mininvasiva con faccette in zirconia ultrasottili (0,2 mm) e restauri posteriori parziali
Dalle aziende
Riabilitazione mininvasiva con faccette in zirconia ultrasottili (0,2 mm) e restauri posteriori parziali
01 Luglio 2025
Prima e dopo l'utilizzo delle faccette Prettau Skin di Zirkonzahn
Dalle aziende
Prettau Skin: le faccette ultrasottili che rivoluzionano l'odontoiatria mininvasiva
30 Marzo 2025
componenti protesiche implantari Zirkonzahn
Dalle aziende
Garanzia e qualità per ogni componente
30 Gennaio 2025
faccette in zirconia Prettau Skin
Dalle aziende
Trattamento mininvasivo con faccette in zirconia Prettau Skin: il flusso di lavoro completo
18 Ottobre 2024
Zirkonzahn Fresco Ceramics
Dalle aziende
Zirkonzahn Fresco Ceramics
03 Luglio 2024
Julian Steger, CEO Zirkonzahn Worldwide
Intervista
Fresatrici dentali: precisione, efficienza e prospettive future
15 Marzo 2024
vista di una collina di un casale stile toscano e il suo vigneto
Dalle aziende
Zirkonzahn tra arte e cultura
22 Gennaio 2024
Dalle aziende
Offerta speciale fresatrice M1 Wet Heavy Metal, ideali per la lavorazione di metalli dal pieno
17 Maggio 2021
Dalle aziende
Nuova linea di fresatrici comfort M2 – Con la nuova extra-large Teleskoper Orbit di ⌀ 125 mm: 1 orbita per 4 diversi diametri
02 Marzo 2021

Info e condizioni

  • Regolamento annunci
  • Certificazioni
  • Privacy policy
  • Cookies policy
  • Gestione preferenze

Sitemap

  • Home
  • Rivista
  • News
  • Articoli
  • Focus
  • Confronti
  • Eventi
  • Annunci
  • Video
  • Aziende

I nostri siti

  • Bplus - Comunicazione Odontoiatrica e Medicale
  • La storia di Infodent
  • Schede di sicurezza
  • Contatti

Logo BPlus

INFODENT® è un prodotto editoriale di Bplus
Seguici sui social
        
Reg. tribunale di Viterbo al n. 9/17 del Registro Stampa V.G. 1808/16 - P.IVA 13609231009